-
ECR26 / C-21590
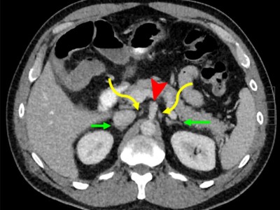
Internal Hernias: When to Suspect, What to Look For S. A. Perdomo, A. T. Garcia, F. Quispe, J. Arellano; Buenos Aires Argentina/AR -
ECR26 / C-19128
Decoding the acute scrotum: ultrasound and Doppler clues for radiologists L. S. Caicedo Mahecha1, J. G. Murillo Leon2, A. Echavarria1, N. S. Trujillo Calderon1, A. F. Mejía León1, C. E. Lucio Cortes1; 1BOGOTA/CO, 2Bogotá/CO -
-
ECR26 / C-14935
MRI of Rectal Cancer After Neoadjuvant Therapy: Imaging Pearls and Pitfalls L. Martínez De Vega, R. Garcia Latorre, A. Fernández Rodríguez, A. M. Vera Carmona, N. Bravo Alcobendas, A. Salgado-Parente, E. Canales Lachén; Madrid/ES -
ECR26 / C-10572
Effect of carbon dioxide insufflation on mesenteric venous enhancement timing in contrast-enhanced computed tomography colonography Y. Ohashi, K. Harada, T. Tanaka, S. Hayasaka, K. Ishibashi, R. Kasahara, N. Yama; Sapporo/JP -
ECR26 / C-15437
CSF-Venous Fistulas in Spontaneous Intracranial Hypotension: A Roadmap Using the MRI Bern Score and Myelography R. C. Mezacasa Júnior1, A. Moraes De Souza2, L. Martins Leal Da Silva2, L. Gonçalves Campos2, L. Scotta Cabral2, J. Ávila Duarte2; 1Lajeado/BR, 2Porto Alegre/BR -
ECR26 / C-26097
Pulmonary Vein Stenosis after Cardiac Ablation: A Case Series M. X. Schenato, D. Koltermann Da Silva, B. L. Bernardi, K. C. B. Zinn, C. E. Nedel, J. Gonçalves Silveira, A. P. Zanardo, J. Fávero Prietto Dos Santos, R. D. Grando; Porto Alegre/BR -
ECR26 / C-17529
Low Pressure, High Stakes: Imaging and Intervention in Spontaneous Intracranial Hypotension S. Reddy Kankara, S. R. Kankara, S. K. Deepalam, D. Jayanna, U. Nayak, S. G. G. Kumar, C. Nagesh, A. Josephine, V. M. Tellis; Bangalore/IN -
ECR26 / C-12767
US-Guided Omental Biopsy in Peritoneal Surface Malignancies: How, When and Why J. Miguez Gonzalez, R. Oliveira Caiafa, P. Lozano Arranz, L. Pelegri Martinez, F. Calaf Forn, M. Valls Mellado, A. M. Herrera Pulido, L. I. Sarati Nieto, C. Pallàs Guardiola; Barcelona/ES -
ECR26 / C-20653
From imaging to pathology: understanding ureteral conditions F. J. Azpeitia Arman, R. M. Lorente Ramos, J. Azpeitia Hernandez, M. Juan Porter, L. M. Caballero Ubaque, A. F. Arias, J. A. Hernandez Zamora; Madrid/ES -
ECR26 / C-10288
Analysis of Peak Skin Dose in Neuroendovascular Therapy of Unruptured Aneurysms S. Kawauchi1, K. Chida2, Y. Hamada1, T. Moritake3, W. Tsuruta4; 1Minato-Ku/JP, 2Sendai/JP, 3Chiba/JP, 4Tokyo/JP -
ECR26 / C-25624
Biliary and Pancreatic fistulas : Imaging review and management M. Dugar, A. R. Patil, S. Nandikoor, R. More, G. Pradeep; Bangalore/IN -
ECR26 / C-25450
The Updated Map of Multiple Sclerosis: Key Radiological Clues in the 2024 Revised McDonald Criteria G. Orhan, B. Ulucan, A. Bozer, Y. Pekçevik; Izmir/TR -
ECR26 / C-21560
Ultrasound of median nerve neuropathy: Looking beyond the carpal tunnel P. Bhatia1, L. Billone1, J. Babhulkar2, K. Nathiya3, H. N. Choudur1; 1Hamilton, ON/CA, 2Pune/IN, 3Bhilwara/IN -
ECR26 / C-16569
Bridges of the Mind: White Matter Anatomy Through Radiologic Lenses A. M. Rodriguez Saldivar, M. Mercado Flores, H. Maya García, B. A. Cortes, A. F. Ríos Victoria; Monterrey/MX -
ECR26 / C-10070
Beyond the mass: differentiating retroperitoneal fibrosis from malignancy and other retroperitoneal pathologies M. Gorjón Gómez, C. Jiménez Relimpio, E. Casado Lorente, B. Alonso Márquez, E. Mira Figueroa Sánchez, M. Morena López, S. R. Vallejo Rivera, P. Beneitez Mascaraque, L. Nicolás Liza; Guadalajara/ES -
ECR26 / C-11391
Small Yet Important: Patella Uncovered I. Togrul, A. G. Erdemir, S. Arslan Sarıkaya, A. E. Yıldız; Ankara/TR -
ECR26 / C-12957
A step-by-step imaging approach to bone tumours: making the complex easy F. Stoica1, S. L. Ghiea2; 1Timisoara/RO, 2Bucharest/RO -
ECR26 / C-18872
Beyond the Sinuses: A comprehensive imaging review of Mucormycosis S. Reddy Kankara1, S. R. Kankara1, D. Jayanna1, U. Nayak1, Y. Aswani2, S. Sharma1, S. Ahmed1, S. K. Deepalam1, A. R. Gangwani1; 1Bangalore/IN, 2Iowa City/US -
ECR26 / C-17761
Urachus. Review of its embryology, anatomy, and pathological spectrum for radiologists M. A. Corral De La Calle, N. M. Bornot Román, G. S. Fonseca, L. Moya Romero; Avila/ES -
ECR26 / C-10853
Beyond the Prevascular Zone: Decoding Visceral and Paravertebral Mediastinal Lesions through Cases and Concepts J. H. B. P. Furlan, E. K. U. N. Fonseca, M. V. Y. Sawamura, P. Gaspar Dos Santos, J. M. Cortez Filho, M. Tonholo Ikedo, P. Esrom, F. D. C. Bernardi, A. S. Silva Mesquita; São Paulo/BR -
ECR26 / C-22989
Silent Highways: Perineural Spread in Abdominopelvic Malignancies Y. A. Salah, M. Abouelela; Alexandria/EG -
ECR26 / C-17348
Cerebral microbleeds: small spots, major diagnoses C. A. López López, Á. Sánchez Mulas, P. Cifrian Casuso, A. Guitián Pinilla, A. W. Hernández Pardos, A. Somoano, R. Sutil, J. Garcia Prado, E. Marco De Lucas; Santander/ES -
ECR26 / C-26650
Mapping the Spectrum of Knee Fat Pad Lesions : From Anatomy to Advanced Pathologies P. Parichha, A. R Patil, G. Pradeep, D. Rai; Bengaluru/IN -
ECR26 / C-10945
Tumor or Not Tumor? Case-Based Comparisons: A Comprehensive Review of Tumor-Like Lesions in the Female Pelvis with Problem-Solving MRI Techniques M. Takeuchi, K. Matsuzaki, M. Harada; Tokushima/JP